
ゾウやサメの歯は失っても何度も生えてきます。
しかしながら、人間の大人の歯は一度失ってしまうと二度と生えてきません。
そこで、失われた歯を回復させるために、北欧スウェーデンでチタンのスクリューを顎の骨に入れ、歯の根の代わりにする治療が開発されました。それがインプラント治療です。
インプラントであれば、入れ歯のような取り外しや見た目を心配せずに、以前のような感覚で自分のあごで噛めるようになるのです。
虫歯にもならない夢のような治療だと思われていたインプラント。
しかし、歯ブラシをしなくていいというわけではありません。
歯を失った原因が歯周病や虫歯だった方は、今までと同じ習慣、同じような歯ブラシのやり方では、インプラントにも同じように細菌が付き、炎症が起きてしまうことがあります。
お口の中のインプラントは、食事による酸やアルカリ、噛み砕くための咬合力、歯ぎしりなどにより絶えず酷使されています。
車に車検があるように毎日使うインプラントにも定期的なメインテナンスが必要です。

当院ではインプラント治療を
行った方への
特別なメインテナンス
プログラムにより、
その後何十年も快適な
インプラントライフをおくれるよう、
お手伝いをさせていただきます。
インプラントを10年、20年と使っていれると、交換が必要なパーツも出てきます。
いざと言うときメーカーに連絡して部品を取り寄せる際に、そのメーカーが潰れてしまっていては困ります。
当院では今や全世界で´インプラントメーカーの中から
今後ずっと残っているものを、またあなたが世界中のどこに住んでいても対応できるように、
歴史が長く世界的に見てシェアが高いストローマン社製、アストラ社製のインプラントを使用しており、
万が一のトラブルの際も早急に対応可能です。
インプラントの構造は一体どうなっているのでしょうか。
ご自身の体の一部となるインプラントについて詳しく知っておきましょう。
当院で扱う、世界でも高品質で信頼性が高いことで有名なスイスの医療機器メーカーの
ストローマンインプラントの一般的な構造要素について説明します。

ストローマンインプラントの中心部で、バイオコンパチブルなチタン合金から製造されています。この材料は、人体に対する相性が高く、体内に埋め込まれても適切な結合を促進します。
ストローマンインプラントの表面は特殊な処理が施され、骨との結合を強化します。これにより、インプラントが骨に安定して取り付けられます。
ストローマンインプラントは、インプラント本体と (冠やブリッジを支持する部品) アブットメント(冠やブリッジを支持する部品) 持っており、 独自のコネクション方式を持っており、安定性を確保しています。 高度な精密加工によって安定性を確保しています。
ストローマンインプラントは、異なるサイズや形状のプラットフォームデザインを提供しており、患者さまのニーズに合わせて選択できます。
インプラントが適切に固定されるよう、ストローマンインプラントにはスクリューやピンが含まれることがあります。
インプラント手術時に一時的にインプラントを保護するカバーが提供されることがあります。

毎日のケアや生活習慣によっても異なりますが、10年以上持続することが一般的です。
特定のケースにおいてはインプラントが20年以上持続したという実績も報告されています。
歯のインプラントの寿命は個人差が大きいですが、
適切なケアと定期的な歯科検診を受けることで、寿命を延ばすことが可能です。
歯のインプラントの治療技術や高品質なインプラントを選択することも
寿命を伸ばすための条件のひとつとなります。
信頼のおけるクリニックで、アフターケアをしっかりすることが
インプラントを長持ちさせる秘訣です。
歯のインプラントが長持ちしない人には、ある特徴や要因が考えられます。
以下はインプラントの寿命に影響を与える一般的な要因です。
適切な歯磨きやフロスの使用など、インプラントの周りの歯肉や口内を適切に清潔に保つことが重要です。
定期的な歯科検診を受けることはインプラント周辺の炎症や感染の早期発見に繋がります。


喫煙はインプラントの寿命に悪影響を及ぼします。
喫煙は口内の血行を悪化させ、感染リスクを高め、骨の健康にも悪影響を及ぼすことが知られています。

健康な骨と良好な口腔健康は、インプラントの成功に重要です。一部の疾患や医療状態はインプラントの結合や寿命に影響を与える可能性があります。

歯ぎしりや咬合問題がある場合、インプラントへの過度な圧力がかかりインプラントの寿命に悪影響を及ぼすことがあります。

インプラント手術技術やプロセスの誤り、または誤った位置への

インプラントの寿命は患者さまの年齢にも影響を受けることがあります。
若い患者さまほど、>長い寿命が期待されますが、高齢の方の場合、骨密度の低下などが問題となることがあります。
インプラントは、失った歯の機能と見た目を取り戻すための先進的な治療法です。
横須賀のオールスマイルデンタルクリニックでは、初めての方にも安心していただけるよう、以下のステップで進めています。
レントゲンやCT撮影で骨の状態や噛み合わせを確認します。
患者さまのご希望に沿って、最適なプランをご提案します。
麻酔を行い、顎の骨にインプラント体(人工歯根)を埋め込みます。
骨とインプラントが結合するまで数ヶ月の安静期間を設けます。
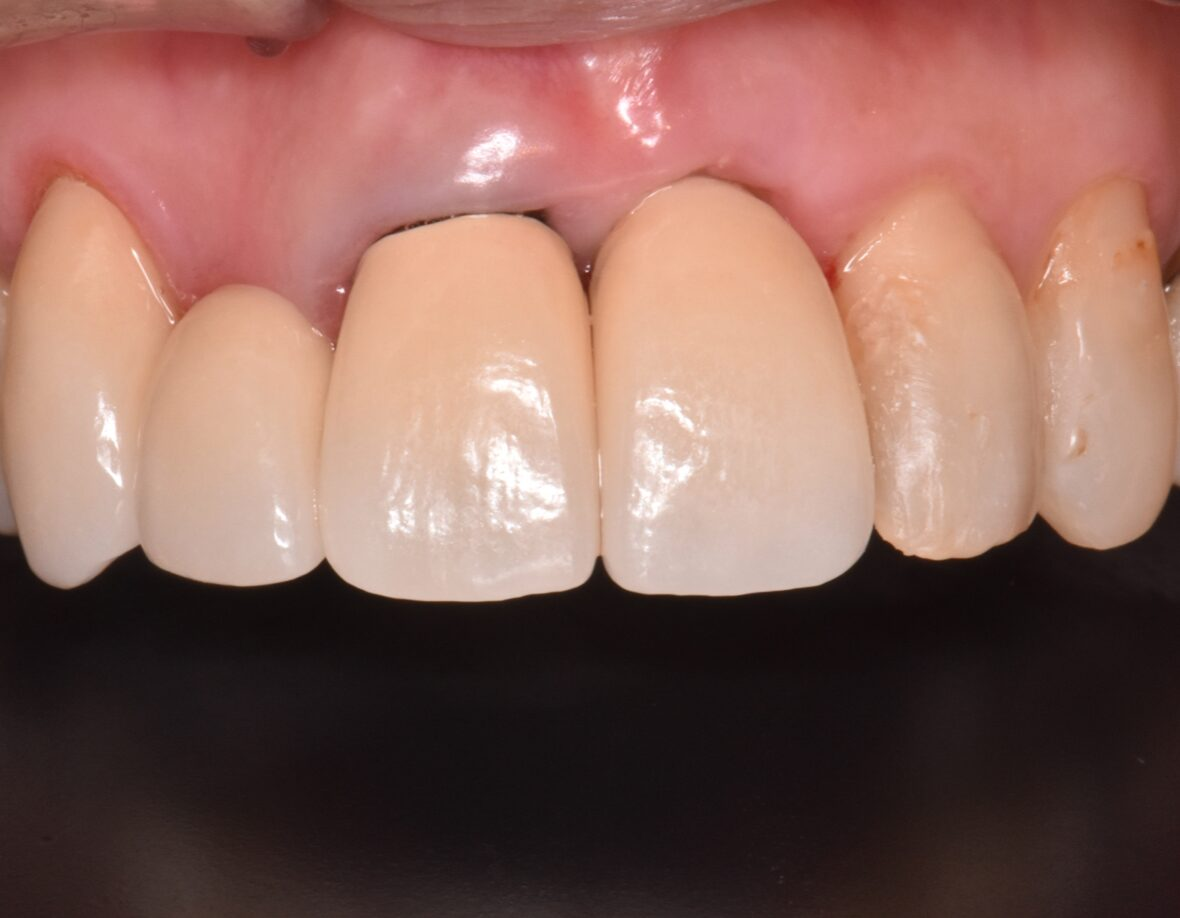
セラミックの被せ物を取り付け、噛む機能と自然な見た目を回復します。
長持ちさせるために、定期的なメンテナンスを行います。
インプラント埋入手術
¥312,400(税込)〜
上部構造
¥249,700(税込)〜
CT検査・診断料
¥7,480円(税込)
インプラント治療は自由診療のため、治療内容や使用する素材によって費用が異なります。
また、当院では安心の保証制度を設けており、治療後のトラブルにも責任をもって対応いたします。
インプラントはどのくらい持ちますか?
適切なメンテナンスを行えば、10年以上、20年以上と長期間使用することが可能です。
手術は痛いですか?
局所麻酔を使用するため、手術中の痛みはほとんどありません。術後も痛み止めでコントロールできます。
保険は使えますか?
インプラント治療は自由診療となるため保険は適用外ですが、医療費控除の対象となります。
入れ歯やブリッジとの違いは?
インプラントは天然歯に近い噛み心地を実現し、隣の歯を削る必要がありません。


2024年
約半年
10回
約100万円
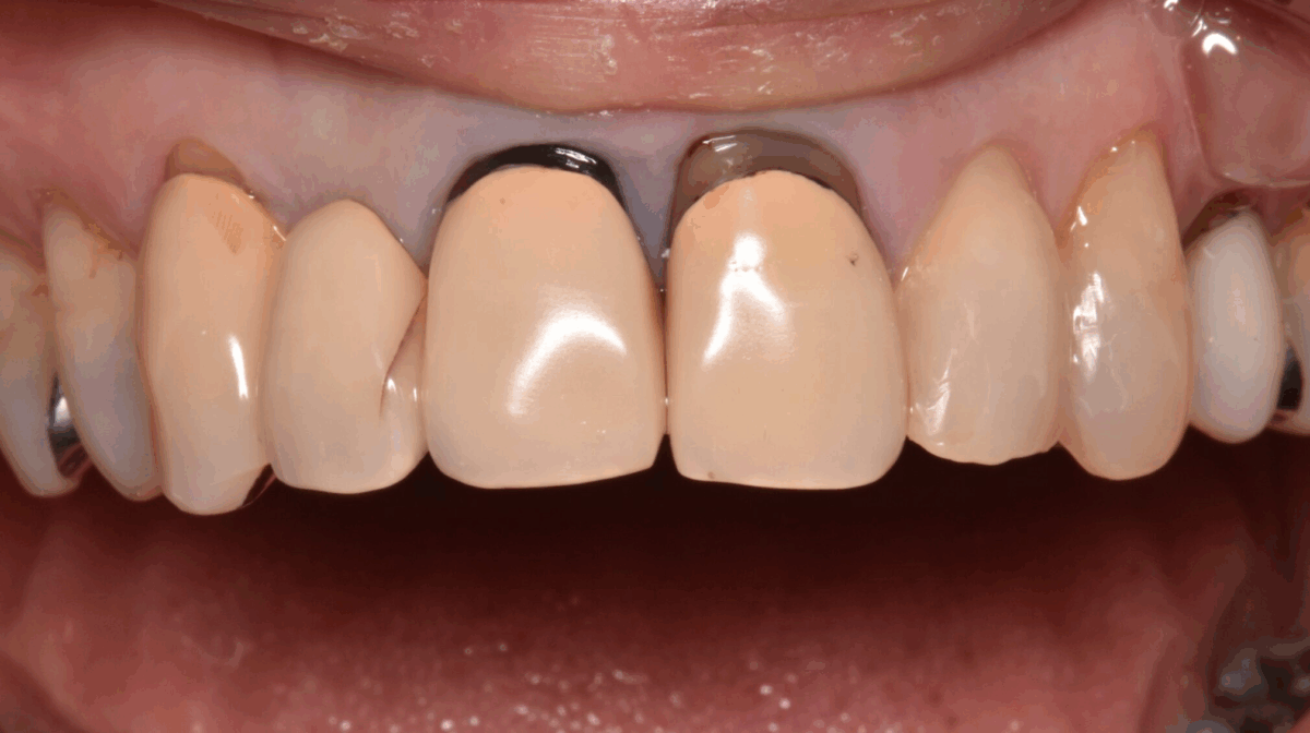
前歯の仮歯がよく脱離するため、インプラント治療を選択したいとのご要望で来院されました。
仮歯の脱離の原因になっていた虫歯の進んでしまっていた歯は抜歯と同時に
インプラント埋入手術を行ったため、治療期間の短縮に繋がりました。
インプラントが骨と十分に結合しない場合、インプラントが不安定になり、再手術が必要となることがあります。
長期間にわたる不適切な口腔ケアが原因で歯周病になり、最悪の場合はインプラント体が抜け落ちることがあります。
術後の口腔ケアを徹底して回避することが可能です。
噛み合わせの問題や過度な力が加わることで、インプラントが破損することがあります。