
歯の色や
形が気になる
銀歯を
白くしたい
笑ったときの印象を
明るくしたい
当院では、治療前にしっかりと
患者様のご要望をお伺いし、
料金や内容を説明した上で
治療を開始しております。
| メニュー | 料金 | 通院期間/回数 |
|---|---|---|
| デュアルホワイトニング | ¥96,800 | 1〜2回 |
| ホームホワイトニング | ¥42,350 | 約2〜4週間 |
| メニュー | 料金 | 通院期間/回数 |
|---|---|---|
| ハイブリッド セラミックインレー(1歯) | ¥69,300 | 約2〜3回の通院 |
| ハイブリッド セラミッククラウン(1歯) | ¥96,800 | |
| E-maxインレー(1歯) | ¥96,800 | 約2〜3回の通院 |
| E-maxクラウン(1歯) | ¥137,500 | |
| ジルコニア セラミックインレー(1歯) | ¥124,300 | 約2〜3回の通院 |
| ジルコニア セラミッククラウン(1歯) | ¥166,100 | |
| ラミネートベニア(1歯) | ¥99,000〜¥143,000 | 約2〜4週間 |
| ダイレクトボンディング(1歯) | ¥22,000〜¥42,350 | 約2~3回の通院 |
| 審美インプラント(1歯) | ¥56,9580〜 |
| メニュー | 料金 | 通院期間/回数 |
|---|---|---|
| マウスピース部分矯正(軽症例) | ¥307,750〜¥665,865 | 3〜12ヶ月 |
| ボトックス注射 | ¥62,370 | 1回 |
| ウォーキングブリーチ(1歯) | ¥35,200 | 約2~3回の通院 |
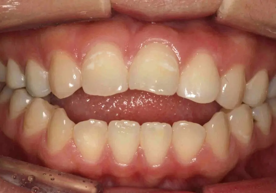
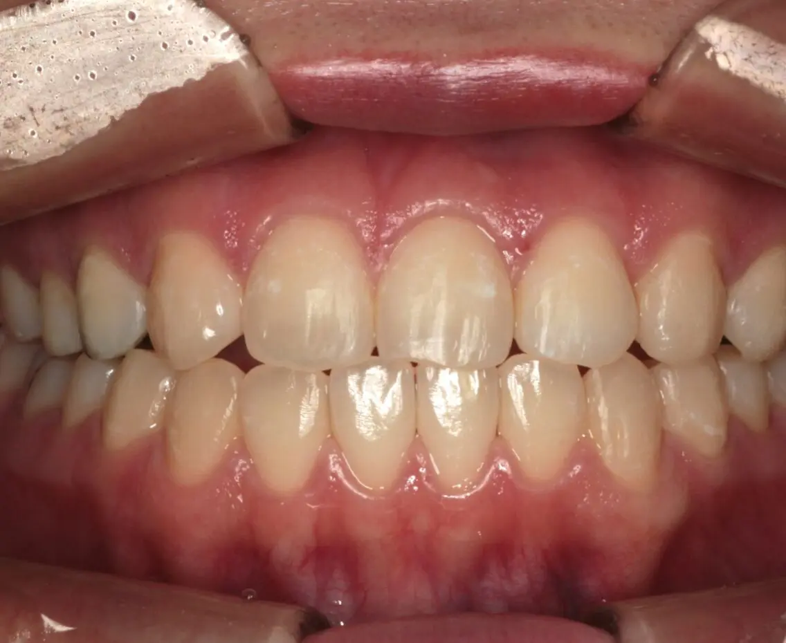
実際に当院で治療を受けられた
患者さまの症例をご紹介します。

上の歯と下の歯の間に
隙間がある歯並び(開咬)でした。

マウスピース矯正インビザラインで
全体矯正を行い
自然で調和のとれた口元になりました。
| 患者様 | 20代 / 女性 |
| 主訴 | 開咬になっている前歯の治療をマウスピース矯正でできるかどうか相談に来院されました。 |
| 治療時期 | 2022年 |
| 治療期間 | 約1年 |
| 通院回数 | 5回 |
| 治療内容 | マウスピース矯正インビザラインによる矯正治療計画をご提案しました。結果は良好でとても患者さまもとても満足していただけました。 |
| 治療費用 | 約70万円 |
| リスクや副作用 | マウスピースの装着時間が不十分だと、計画通りに歯が動かず、治療が長引く可能性があります。 1日20時間以上の装着が推奨されます。 |
| 注意点 | 重度の不正咬合や複雑なケースには、ワイヤー矯正などの別の方法が必要な場合があります。 |
患者さまからよく頂く
ご質問をまとめました。
審美歯科では「見た目の美しさ」を重視するため、多くが自費診療となります。
ホワイトニング効果は生活習慣にもよりますが、半年〜1年ごとのメンテナンスで長持ちします。定期的なクリーニングがおすすめです。
個人差がありますが、適切なメンテナンスを行えば10年以上もつケースもあります。強度と耐久性に優れた素材を使用しています。
金属を一切使わないオールセラミック治療を行っております。金属アレルギーの方でも安心して受けていただけます。
もちろんです。性別・年齢問わず、自然な印象を目指す方におすすめです。男性のホワイトニングや部分矯正も増えています。
まず現在の歯の状態をチェックし、どのようなお悩みがあるかを伺い、患者様のご要望にあわせた治療内容・費用・必要な治療期間・通院回数などを丁寧にご説明します。
セラミックとレジンを混ぜ合わせた「ハイブリッドレジン」や「ハイブリッドセラミック」が使われます。フィラーが多く含まれており、保険適用のレジンより審美性や耐久性に優れています。
根管治療を行なっている歯が対象なので、まだ神経のある歯には行えません。
また銀合金などの金属が原因で変色した歯には十分な効果が出ない場合があります。
効果の持続期間には個人差がありますが、通常、施術後2〜3日頃から出始め、1週間程度で最大になります。
持続期間は3〜5ヶ月程度と言われています。

横須賀のオールスマイル
デンタルクリニックでは、
ご要望やご予算を丁寧に伺い、
最適な治療プランをご案内いたします。
オンラインまたはお電話で
お気軽にご予約ください。